重庆医科大学第二临床学院教案

 

重庆医科大学第二临床学院教案

                                        2023915

课程名称

消化系统疾病

授课题目

胆系、胰腺疾病(示教)

授课教师

余翔玲助教钟维佳副教授

授课对象

2020级影像本科

  

3学时(120min)

  

消化系统疾病整合教材

学目的与要求:

熟悉并掌握 胆结石症胆囊炎以及胆囊癌、胆管癌的临床与影像学表现、诊断与鉴别诊断

掌握 胆道梗阻的临床与病理、影像学表现

掌握 性胰腺炎胰腺癌的临床与病理、影像学表现、诊断与鉴别诊断

思政目标:

1    培养学生正确的人生观,激发学生为医学发展而奋斗的精神

2、  提高学生在学习过程中的科研能力和创新能力

教学重点: 

1、胆系结石、炎症及肿瘤、胆道梗阻的影像学表现。

2、胰腺炎症及肿瘤的影像学表现。

3脾梗死的影像学表现。

4思政重点:如何培养学生科研能力和创新能力

教学难点:

1、胆系结石、炎症及肿瘤、胆道梗阻的影像学表现。

2、胰腺炎症及肿瘤的影像学表现。

外语要求

掌握重要专业术语的英文如:

ERCP(Endoscopic Retrograde Cholangiopancteatography)、Gallstone、Cholecystitis、Gallbladder Carcinoma、Cholangiocarcinoma、pancreatitis

教学方法、辅助手段:

1、教学方法:采用案例式、提问式教学法,通过临床典型病例,以影像教学片为导向,使用多媒体+移动设备互动教学结合教具图片临床举例等方式系统讲解胆系、胰腺疾病的临床表现影像表现及鉴别诊断,引导学生增强主动学习能力,培养临床思维能力。

2、辅助手段:以 PPT 课件为主线,合理配以病例视频、图片、表格,采用现场教学结合网络微课等混合式教学手段,一方面加深学生对专业知识的理解,达成知识教学目标同时融入课程思政,以帮助学生树立正确的生命价值观,激发自我奋斗精神,加强创新意识和能力的培养。

参考资料:

医学整合教材 《消化系统疾病》影像专业本科专业用影像诊断学(第4版)医院影像教学片

-1-

 


重庆医科大学第二临床学院教案

 

教学内容、方法

课程思政

辅助手段

时间分配

 

PPT展示典型病例影像图片用箭头等标示突出重点带领学生逐一认识重要的解剖结构及病变征象启发学生思考

胆系疾病表现(60min

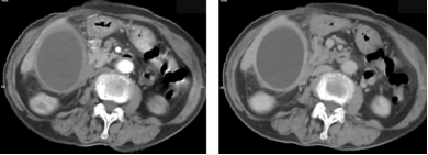
1胆系结石症X线表现:平片PTCT

截屏2022-10-06 18.34.38

CT表现:平扫呈单发或多发圆形高密度影;肝内胆管结石:常为高密度,呈与肝内胆管走行一致的结节状影,常伴有周围胆道扩张;胆总管结石:多为高密度。结石上部胆管扩张。可见“环靶”征或“半月”征。

MRI表现:与结石成分有关:T2WI,高信号胆囊内可清楚显示低信号结石;胆管结石在T2WIMRCP上呈低信号,MRCP能显示梗阻上方胆管扩张程度,扩张胆管下端呈杯口状充盈缺损。

截屏2022-10-06 18.40.19

截屏2022-09-15 11.18.28

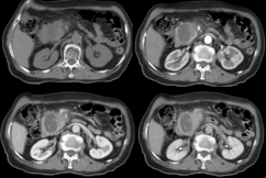
2胆囊炎CTMRI表现:急性胆囊炎:胆囊增大,弥漫性增厚>3mm。内层明显强化,外层呈一圈低密度环慢性胆囊炎:胆囊壁增厚;胆囊壁钙化;胆囊缩小,也可增大

截屏2022-10-06 18.44.06    截屏2022-10-06 18.44.41

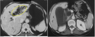
3胆囊癌CT表现:胆囊壁不均匀增厚、腔内乳头状结节影;基底部胆囊壁增厚;胆囊区不规则软组织肿块影;增强扫描,肿瘤及其局部胆囊壁常明显强化。

截屏2022-10-06 18.47.17

4胆管癌CT/MRI影像表现肝门胆管癌:多可在肝门区发现软组织结节或肿块,肝内胆管扩张中段和下段胆管癌:肝内和近段胆管扩张明显,胆管扩张突然变小或中断,局部胆管壁增厚或可见软组织结节或肿块,增强扫描明显不均匀强化

   截屏2022-10-06 18.48.34

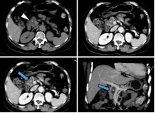
5胆道梗阻诊断影像学表现:一旦显示肝内胆管,提示肝内胆管扩张,显示为由肝门至外围呈树枝状分布的条状水样低密度区;肝总管和胆总管直径>1cm提示扩张存在显示为肝门或胆总管走行区的圆形水样密度影。

截屏2022-10-06 18.50.00截屏2022-10-06 18.50.22

胆道梗阻病因诊断分析良性:胆管扩张程度较轻,呈枯枝状或残根状;扩张的肝外胆管逐渐变细;扩张的胆管远端可见结石影,出现半月征靶征。恶性:胆管扩张程度较重,呈软藤状;扩张的胆管突然中断,又未见结石影;梗阻端出现软组织块影,胆管不规则狭窄;肝门部梗阻多为恶性;胰头部同时显示扩张的胆管和胰管,出现所谓双管征

二、胰腺疾病影像表现(55min

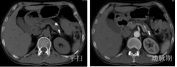
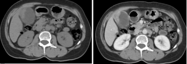
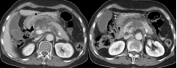
1腺炎CT表现:多数有胰腺弥漫性增大,少数轻者表现正常;密度正常或略减低,均匀或不均匀;胰腺轮廓清楚或模糊,渗出明显者可有胰周积液;肾前筋膜及肾周筋膜增厚;增强扫描胰腺均匀强化。

截屏2022-10-06 18.52.50截屏2022-10-06 18.53.15

肾旁前间隙、肾后间隙积液

截屏2022-10-06 18.53.51

腺炎MRI表现:胰腺局限/弥漫肿大,呈T1低信号、T2高信号;胰腺轮廓清楚或模糊,渗出明显者可有胰周 或胰外积液,呈T1低信号、T2高信号;合并出血,T1T2皆呈高信号;增强扫描:水肿型,胰腺均匀强化 ;坏死型,胰腺不均匀强化,坏死区无明显强化。

截屏2022-10-06 18.55.47

慢性胰腺炎CT表现:胰腺体积大小可正常,也可增大或缩小,改变可呈局限性或弥漫性。弥漫性萎缩也见于糖尿病病人及老年人;胰管扩张:多显示不同程度扩张,可呈管状或串珠状;胰管结石和胰实质钙化。

截屏2022-10-06 18.56.53

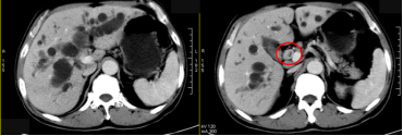
(2)腺癌CT表现:胰腺局部增大、肿块形成,多呈等或稍低密度,增强扫描多呈低密度而显示更清楚;胰头Ca常伴胰体尾萎缩;胰腺钩突变为隆凸或球形,提示钩突肿瘤;胰管和胆管扩张。

截屏2022-10-06 18.58.49

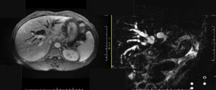
胰腺癌MRI表现:横断面所见与CT相同。T1WI肿瘤呈低或等信号,T2WI肿瘤呈稍高信号;MRCP能清晰显示梗阻扩张的胰管和胆管。

截屏2022-10-06 18.59.46

(3)腺囊性肿瘤:浆液性囊腺瘤常发生在胰腺体尾部,老年女性多见。切面呈蜂窝状;黏液性囊腺瘤和囊腺癌,黏液性囊腺瘤常有恶变的可能,实际上潜在的恶性肿瘤。胰体尾部多见,肿瘤常常很大,为单囊或几个大囊组成。

截屏2022-10-06 19.01.50

胰腺黏液性囊腺瘤

截屏2022-10-06 19.02.15

胰腺浆液性囊腺瘤

4胰岛细胞瘤:多数肿瘤较小,增强CT富血供,动脉期强化明显高于正常胰腺组织,但静脉期肿瘤密度与正常胰腺组织接近。

截屏2022-10-06 19.03.37

【本课程的总结】(5min

  本次课程围绕典型影像教学图片,运用多媒体、相关病例、医学图片资料等辅助手段,以临床典型病例为导向,系统讲解了胆系、胰腺疾病临床表现影像特征及鉴别诊断等几个方面。着重强调胆系、胰腺疾病基本病变的典型征象巩固学生理论知识加强学生识片读片,以培养学生良好的临床阅片思维能力

 

 

 

 

 

 

 

 

 

 

 

 

 

 

 

 

 

 

 

 

 

 

 

 

 

 

 

 

 

 

 

 

 

 

 

 

 

 

 

 

 

 

 

 

 

 

 

 

 

 

 

 

 

 

 

 

 

 

 

 

 

 

通过设问引入思政元素:在讲解胰腺癌时提及胰腺癌是最常见的原发性恶性肿瘤之一 发病率和死亡率均高居不下,通过流行病学数据引出“健康中国”发展战略,思考我们每一个人特别是医学生在实现健康中国中的责任和担当以及树立正确的生命价值观。

 

 

 

 

 

 

 

10min以图片示教以图片PPT展示为主结合视频演示及临床典型病例讲解胆系结石影像表现

 

 

 

 

 

 

 

 

 

 

 

 

 

10min以急性胆囊炎为病例分析胆囊炎性病变的特征CT影像学特征

 

 

 

 

 

10min

 

 

 

 

 

5min

 

 

 

 

 

 

15min分析胆道梗阻诊断过程及诊断原则

(2min)CT影像表现

 

(3min)MRI影像表现

 

 

(10min对比分析胆道梗阻病因诊断分析

 

 

着重阐述胰腺疾病异常影像学表现10min以提问方式请同学们结合大课理论知识与方法分析急性胰腺炎临床典型表现及其相应的影像伴随征象

 

 

 

 

 

5min

 

 

 

 

 

 

10min以CT影像图像为示范分析胰腺癌的临床诊断及影像表现强调影像学的价值与诊断依据

 

 

5min

 

 

 

 

 

 

10min以影像图像为示范简单对比分析胰腺将液性囊腺瘤及黏液性囊腺瘤影像表现强调影像学的价值与诊断依据

 

 

 

 

 

 

5min以影像图像为示范讲解胰岛细胞瘤影像特征表现

 

 

 

 

 

 

5min结合影像学图片对胆系、胰腺疾病基本病变的各种影像学表现作总结,便于学生理解记忆

 

 

思考题:

(1)   胆系肿瘤T1WI及T2WI的信号特点、增强扫描后的信号特点;

(2)   简单讲解MRCP的优势

(3)   简述胆道梗阻病因诊断分析

(4)   急性胰腺炎典型CTMRI影像表现及其常见合并征象

 

科主任及教研室主任审核签字:

 

 

1