重庆医科大学第二临床学院教案

 

重庆医科大学第二临床学院教案

                                         202309

课程名称

放射影像诊断学

授课题目

循环系统

授课教师

宋卫香(讲师)

授课对象

2020级医学影像专业

  

8学时

  

医学影像诊断学》第韩萍于春水,人民卫生出版社)

教学目的与要求:

  1. 通过教师的课堂讲解,学生能够说明不同影像学检查技术在循环系统应用的优势与不足,并能解释原因。
  2. 学生通过回顾、复习心脏和全身血液循环的生理与解剖知识,能够自主并完全准确(100%)的解释肺循环和体循环的生理过程,并应用到影像学课程中。
  3. 学生经过课堂学习和参与阅片,能够在X片上识别和分析正常心脏轮廓构成、心脏各房室增大征象和肺循环异常的影像学表现,正确率80%以上。
  4. 学生通过老师课堂讲解和课后复习,能解释冠心病相关的影像学征象,正确率80%以上,并对现有影像学检查方法在冠心病的应用价值给出评价。
  5. 学生通过分组讨论和老师评讲,能描述风心病二尖瓣病变的影像学表现,正确率90%以上。并且能够提出与讲授内容相关或相悖征象的问题,再运用所学知识解决问题。

教学重点:

  1. 循环系统正常X线表现及房室增大
  2. 肺循环异常的X线表现
  3. 冠心病的影像学知识

教学难点:

  1. 心脏各房室增大
  2. 肺循环异常的X线表现

外语要求:

  1. 掌握的英语词汇:冠心病coronary artery diseaseCAD;心肌病 cardiomyopathy;主动脉瘤 aortic aneurysm;主动脉夹层 aortic dissection
  2. 熟悉的英语词汇:肺充血 pulmonary congestion;肺淤血 pulmonary venous congestion;肺动脉高压 pulmonary hypertension;钙化斑块 calcified plaque;非钙化斑块 noncalcified plaque;房间隔缺损 atrial septal defectASD

教学方法、辅助手段:

使用多媒体+移动设备互动教学,结合教具、图片及临床举例采用混合式教学模式,分为:

课前:

  1. 学生线上阅读“导学说明”。
  2. 自学教材及相关资料。
  3. 思考和准备循环系统的影像学相关问题,在课中与老师交流讨论。

课中:

  1. 教师通过PPT课件与视频、图片相结合,讲解重要知识与技术点。
  2. 老师通过模型展示和拆解,加深学生对心脏大血管的3D形态的理解。
  3. 老师提问,要求学生课中与课后思考与讨论,分析给出解决思路。
  4. 根据实际授课情况与学生反馈,进行课中小测试。

课后:

  1. 学生与教师的教学反思.
  2. 学生完成课后任务。
  3. 参与课程拓展。
  4. 临床实地见习与体验。

参考资料:

  1. 刘玉清,心血管病影像诊断学. 安徽科技出版社. 辽宁科技出版社,2000
  2. 张兆琪,心血管疾病64CT诊断学,北京:人民卫生出版社,2008
  3. 戴汝平,先天性心脏病多排螺旋CT成像与诊断,科学出版社,2010
  4. 赵世华,心血管病磁共振诊断学,人民军医出版社,2011
  5. Di Tanna GLBerti EStivanello Eet al. Informative value of clinical research on multislice computed tomography in the diagnosis of coronary artery disease: A systematic review. Int J Cardiol2008,281303):386-404 .

-1-

 


重庆医科大学第二临床学院教案

 

教学内容、方法

课程思政

辅助手段时间分配

展示本次授课内容与重难点

qt_temp

 

第一节   不同成像技术的临床应用

   一、通过一个谜语导入课程,帮助同学们回顾心脏解剖及血流动力学过程,为后面的内容打好基础。

    

二、通过对比不同影像学检查的优缺点和图像特点,加深学生对影像设备和图像的联系与理解。

三、影像学检查的综合评价

应遵循简单、有效、经济、少创的原则(八字原则)

 

  正常影像学表现

一、正常x线表现

(一)X线平片心脏、大血管的正常投影

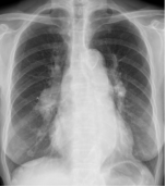
 1后前位(正位)重点强调后前位胸片上心影轮廓的构成

IMG_29752021-06-07 14:34:48.7150002021-06-07 14:30:43.795000

1心右缘分为两段

上段为主动脉与上腔静脉的总投影

下段为右心房构成

2心左缘分为三段

上段为主动脉结

中段为肺动脉主干

下段由左心室构成

2、左侧位

1心前缘:

上段为右心室漏斗部和肺动脉主干

下段为右心室前壁

2心后缘:

上中段由左心房构成

下段由左心室构成

(二)心脏大小的评估及体型与心脏类型的关系

1心胸比的定义和正常值线下课结合移动设备与学生互动,完成选择题,了解知识点掌握情况,酌情讲解。

2、影像心脏影大小的主要因素

3、正常的后前位胸片心脏形态类型

(三)正常冠状动脉造影的表现动态视频展示影像;了解

 

三、正常CT表现

(一)心脏

1主动脉弓层面主-肺动脉窗层面左心房层面四腔心层面

2心脏VR成像、短轴位、左室两腔心、四腔心层面的影像表现

指出传统教学内容和方式的不足

无标题 无标题

(二)心包

较敏感而无创的影像检查方法正常厚度为12mm

(三)其它

1、肺动脉、肺静脉的CT影像

2冠状动脉的CT影像和正常解剖

2、心脏瓣膜的影像

 

四、正常MRI表现

黑血技术、亮血电影、速度编码电影序列、心肌灌注和延迟扫描技术

 

 

 

 

第三节  异常影像学表现

一、异常X线表现

(一)心脏及各房室增大

1、心脏外形的变化二尖瓣型主动脉型普大型其他

2心脏房室增大重点内容


1)左心房增大

心右缘出现双弓影心底部双房影

左房增大明显时左心缘左心耳形成的第三弓

气管分叉角度加大

2021-06-08 01:06:56.0090002021-06-08 00:32:37.053000

2)右心房增大

右房段向右上方膨凸

最突出点位置较高,与升主动脉交点上移

上腔静脉扩张增宽右房增大的间接征象

 

3)左心室增大

心尖向下向左延伸

左心室段延长、圆隆并向左扩展

左侧位,心后下缘食管前间隙消失

src=http___gw.alicdn.com_imgextra_i3_1880978658_TB2bPVMapXXXXXtXXXXXXXXXXXX_!!1880978658.jpg&refer=http___gw.alicdn2021-06-08 01:27:05.7660002021-06-08 01:07:40.9640002021-06-08 00:33:24.261000

 

4)右心室增大

右心缘下段向右膨突,最凸点偏下

心尖圆隆上翘

肺动脉段膨凸

左侧位心脏与前胸壁接触面加大,大于1/2,肺动脉段漏斗部凸起

2021-06-08 01:28:36.5900002021-06-08 01:27:23.7940002021-06-08 01:08:01.6640002021-06-08 00:33:49.254000

5)全心增大

心影向两侧扩大,横径显著增宽

左侧位:心前、后间隙缩小,食管普遍受压移位

 

(二)主动脉异常

1、胸主动脉屈曲延长扩张

2、主动脉钙化

 

(三)肺血流异常课程难点,也是重点解剖图示+循环视频回顾体循环与肺循环的生理过程,充分理解的基础上进一步学习病理状态下的异常血流,分析血流与压力对血管、心脏和肺的影像。

C:/Users/Administrator/AppData/Local/Temp/picturescale_20210609224424/output_20210609224445.pngoutput_20210609224445     IMG_2983

1、肺充血:肺动脉内血流量增多

   X线表现:肺野透明度正常肺门影增大,边缘清晰,右下肺动脉直径大于1. 5cm,肺纹理成比例增粗,增多,边缘清晰透视下肺门血管搏动增强----肺门舞蹈,肺动脉段膨隆长期肺充血可引起肺动脉高压

2肺少血:肺动脉内血流量减少,由于右心排血受阻所引起

   X线表现:肺野透明度增加肺门及肺血管影变细,肺门影缩小,肺纹理变细稀疏

3、肺淤血:肺静脉回流受阻

   X线表现:上下肺静脉管径比例失调,上肺静脉扩张增粗,下肺静脉收缩变细肺纹理增多、增粗且模糊,肺门影增大模糊,搏动减弱肺野透光度降低

4、肺动脉高压肺动脉主干收缩压超过4kPa,平均压超过2.7kPa,即为肺动脉高压分高流量型和阻塞型

X线表现:肺动脉段突出,搏动增强肺门肺动脉及其大分枝扩大,而中外带分支变细,与扩大的肺动脉大分支之间有一突然分界称肺门截断现象残根征肺门动脉搏动增强右室增大

136979970071333图片1  IMG_1278

5、肺静脉高压:肺毛细血管-肺静脉压超过1.33kPa

轻者为肺淤血压力超过3.33kPa时,间质性肺水肿出现压力进一步提高时,出现肺泡性肺水肿

间质性肺水肿

   X线表现:在肺郁血的基础上出现间隔线可伴有胸膜下和胸腔积液

Kerley B”线:肋膈角区水平走行的细线状影,宽1- 3mm,长20-30mm(慢性左心衰,小叶间隔水肿)结合病理生理详细分析形成Kerley B的原因、过程,并给多个病例,明确让学生掌握。并围绕肺淤血给出影像学征象的思考题。

肺泡性肺水肿:液体渗入肺泡

   X线表现:一侧或两侧肺野有片状模糊影,以中内带多见,典型者两侧肺门区大片模糊影呈蝶翼状合并间质性肺水肿病变阴影,短期内变化大,来去迅速

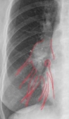
6、冠状动脉造影异常

 

、异常CT表现
(一)心脏

1心肌的异常表现心肌厚薄的改变心肌密度的改变心肌运动的异常

2心腔的异常表现心腔大小的改变心腔内密度的改变

(二)心包

心包缺损心包渗出心包增厚和钙化心包新生物

(三)冠状动脉

  1. 冠状动脉粥样硬化斑块:钙化与非钙化
  2. 冠状动脉管腔狭窄、闭塞
  3. 冠状动脉扩张
  4. 冠状动脉发育异常

(四)大血管

位置、管径、密度的异常

 

三、异常MRI表现

(一)心脏

1.心肌异常:厚度、信号、运动、占位

2.心腔异常:大小、信号

(二)心包

缺损渗出增厚及钙化占位

 

展示本次授课内容与重难点

qt_temp

 

第四节   先天性心脏、大血管位置和连接异常

一、镜面右位心

二、右位主动脉弓

三、迷走右锁骨下动脉

四、腔静脉异位引流

 

 

 

 

 

 

   先天性心脏病

一、房间隔缺损atrial septal defectASD

  1. 血流动力学改变:左向右分流→加重右心负荷→右房、右室大→最终肺动脉高压
  2. X线表现

心影呈“二尖瓣”型

右心房、右心室增大

左心房大致正常,左心室正常或缩小

肺充血及肺动脉高压→肺动脉段突出, “肺门舞蹈”

主动脉结缩小

“三大三小、肺门舞蹈”给出口诀方便记忆。

 

 

 

 

二、室间隔缺损(Ventricular Septal Defect VSD)

1血流动力学改变出发引导并鼓励学生在学习ASD的基础上,自主分析,踊跃发言

2X线表现:根据血流动力学给出推测,并与实际病例相验证。

 

三、动脉导管未闭(patent ductus arteriosusPDA)

1仍以血流动力学改变出发引导并鼓励学生自主分析,踊跃发言

2X线表现根据血流动力学给出推测,并与实际病例相验证。

 

 

 

四、法洛四联症

1通过移动设备的课堂互动,指出复杂畸形的病理原因:肺动脉狭窄、室间隔缺损、主动脉骑跨和右心室肥厚

2X线表现根据畸形做理论的推导,再与具体病例相对照。

 

   后天性心脏病

一、 冠状动脉粥样硬化性心脏病

(一)   (强调重点)影像学定义由动脉粥样硬化导致的至少1处冠状动脉管腔狭窄≥50%的心肌缺血性心脏病变。

(二)临床与病理

1病理:

2临床:心绞痛,心率紊乱

(三)影像学表现

1、冠状动脉CTA的临床价值课程的重点

1)       直接测量冠状动脉的直径判断狭窄程度;

2)       显示粥样斑块类型和部位;

3)       钙化积分的定量分析,反映病情发展,进行预测;

4)       冠状动脉支架及搭桥术后随访。

ws_6E

2、缺血性心肌病

1)       心肌缺血的类型

2)       CT表现:

a、    心室壁形态,密度,心室功能及心室血流的测定,来评价心肌缺血及其程度

b、    早期心室壁增厚,心肌梗死后变薄

c、    增强扫描:低密度区

d、    附壁血栓:充盈缺损

3)MRI的价值了解内容,鼓励自学,举手答疑。)

 

二、高血压性心脏病(hypertensive heart disease)

简要分析病理变化对影像学的影响,说明其X 线表现左心室增大,肥厚主动脉增宽、延长、迂曲产生的原因。

解读病例图像,加深理解。

 

三、风湿性心脏病

1、临床与病理
2血流动力学改变二尖瓣狭窄:左房血进入左心室障碍左心房增大静脉淤血右心室增大心衰竭

合并二尖瓣关闭不全:部分血回流入左心房左心房扩大左心负担过重左心室增大左心衰竭

 

学生课后优秀作业展示:

cdv_photo_001-39486988df377741cdv_photo_002

 

 

四、肺源性心脏病(cor pulmonale)           

 

五、心肌病(cardiomyopathy)

(一)肥厚型心肌病(HCM

(二)扩张型心肌病(DCM

(三)限制型心肌病(RCM

 

 

 

第七节     心包疾病

一、心包积液 (pericardial effusion)

心包内液体超过50ml,称为心包积液病因多

(一)临床与病理

(二)影像学表现

(三)诊断和鉴别诊断

二、缩窄性心包炎

(一)临床与病理

(二)影像学表现

(三)诊断和鉴别诊断

 

节 大血管病变

一、肺动脉栓塞

1结合具体案例,强调影像学在血管性疾病诊断中的重要价值,尤其正确选择检查方法的重要性。

2影像学表现CT增强扫描(CTA首选)

直接征象:腔内或附壁充盈缺损

二、主动脉瘤

关注主动脉壁的破裂情况:壁完整真性动脉瘤;壁全层破裂假性动脉瘤;仅内膜破裂夹层动脉瘤。

IMG_1285

1临床与病理

2影像学表现

扩张的主动脉内径≥邻近正常管径1.5

囊状、梭形、混合型

 

主动脉夹层

1临床与病理

2影像学表现

重点强调CT诊断要点真假腔;破口;内膜片

3分型:DeBakey分型,Stanford分型

 

 

AD

 

课程知识点总结;推荐自学资料;布置课后拓展任务。

 

 

 

 

 

 

 

 

 

 

 

 

 

 

引入思政内容:正确选择影像学检查方式:1. 对医生而言,有助于疾病的早发现、早诊断、早治疗,提高检查效能,指定治疗策略;2. 对患者而言,可以及时检查出病因、减轻经济负担、减少痛苦并改善预后;3. 对国家和社会而言,能够节约医疗成本,提高效率。

 

 

 

 

 

 

 

 

 

 

 

 

 

 

 

 

 

 

 

 

 

 

 

 

 

 

 

 

 

 

 

 

 

 

 

 

 

通过展示薄层连续图像和心脏3D动态视频,说明影像学的突飞猛进,提升学习兴趣与与对医学专业的热爱并要求学生以全局视角学习知识。

 

 

 

 

 

 

 

 

 

 

 

 

 

 

 

 

 

 

 

 

 

 

 

 

 

 

 

 

 

 

 

 

 

 

 

 

 

 

 

 

 

 

 

 

 

 

 

 

 

 

 

 

 

 

 

 

 

 

 

 

 

 

 

 

 

 

 

 

 

 

 

 

 

 

 

 

 

 

 

 

 

 

 

 

 

 

 

 

 

 

 

 

 

 

 

 

 

 

 

 

 

 

 

 

 

 

 

 

 

 

 

 

 

 

 

 

 

 

 

 

 

 

 

 

 

 

 

 

 

 

 

 

 

 

 

 

 

 

 

 

 

 

 

 

 

 

 

 

 

 

 

 

 

 

 

 

 

 

 

 

 

 

 

 

 

 

 

 

 

 

 

 

 

 

 

 

 

 

 

 

 

 

 

 

 

 

 

 

 

 

 

 

 

 

 

 

 

 

 

 

 

 

 

 

 

 

 

 

 

针对上述各内容展开详细讲述,并结合最新科研进展,说明影像学在疾病筛查、确诊、指导治疗与预测预后中的重要价值,分析现有影像学检查的优势与劣势,并引入课程思政,引起学生热爱医学事业的心理共鸣,激发探索真理的积极性。

 

 

 

 

 

 

 

 

 

 

 

 

5分钟

 

 

 

 

 

 

 

 

 

 

 

 

 

共10分钟

 

 

 

 

 

 

 

 

 

 

 

 

 

 

 

 

 

 

 

 

 

 

 

 

 

 

 

 

 

 

 

 

45分钟

10分钟

心脏模型示意图X片层层深入的讲解X线投影成像的原理,帮助学生理解。

 

 

 

 

 

 

5分钟

了解内容,让学生自己分析发言

 

 

 

 

 

 

 

课前结合微课视频自学

5分钟

 

 

 

结合第三方软件读取病例原始DICM图像,展示目前临床最新的阅片方式同屏联动

15分钟

 

 

 

 

5分钟

 

 

 

5分钟

 

 

 

 

 

 

 

 

共90分钟

通过 示意图模型具体病例 层层递进的方式,详细分析,引导学生主动总结应有的影像学征象。在下一节课前通过移动设备完成互动选择题进一步加深印象,提升效果

5分钟

 

5分钟

 

 

 

实物类比+图示的方式展示左心室增大的形态

5分钟

 

 

5分钟

 

 

 

 

 

 

 

 

5分钟

 

 

5分钟

 

 

 

30分钟

 

 

 

 

 

 

 

 

 

 

 

 

 

 

 

 

 

 

 

 

 

 

 

 

 

 

 

 

 

 

 

 

 

 

 

 

 

实物类比+图示的方式说明该定义来源

 

 

 

 

 

 

 

 

 

 

 

 

 

 

 

 

 

 

 

20分钟

 

 

 

 

 

 

 

 

 

 

 

 

 

 

 

 

 

 

 

 

 

 

10分钟

 

 

 

 

 

 

 

 

 

 

 

 

10分钟

了解内容:内容较浅显,影像学诊断简单明确,鼓励学生自主学习与分享,结合资料给予现场答疑。

 

共30分钟

 

15分钟

从病理生理出发,分析左向右分流先心病的血流动力学改变,推导可能的影像学征象,以理解的角度达到对一类疾病的征象掌握,重在培养临床思维与推理能力。

 

5分钟

 

 

 

 

5分钟

展示清晰而准确的CT图像,说明影像学的高速发展对疾病的精准诊断具有决定性作用。

5分钟

 

 

100分钟

5分钟

 

 

5分钟

 

 

 

 

30分钟

 

 

 

 

 

 

 

 

 

 

 

 

 

10分钟

通过举出具体案例,引导并鼓励学生思考,联系临床与影像,踊跃发言

10分钟

 

5分钟

 

 

 

 

15分钟

要求学生课后结合所学知识,自主分析可能的X线表现并给出思路,画出思维导图,进一步深化理解影像与病理生理的联系。

 

 

 

 

 

 

 

引导并鼓励学生自主分析,解读X片,并通过讨论与发言完成自学,老师给予点评

20分钟

10分钟

自学章节,课程中结合阅片,简要说明并答疑。

 

 

 

 

 

 

 

20分钟

8分钟

 

 

 

 

5分钟

通过图示与板书的方式,给学生明确三种类型动脉瘤的形成原理

 

 

 

 

 

 

 

 

 

 

 

2分钟

 

 

 

 

5分钟

运用图示+举例讲解的方式,加深学生理解主动脉夹层的危害,将影像学提供的信息与临床分型与治疗、预后紧密联系起来。

 

课程的总结

循环系统的内容需要结合解剖学、生理学和病理生理学综合理解,才能掌握正常X线表现及房室增大、肺循环异常的X线表现等相关难点,真正理解疾病的影像学表现,对医学生学习该课程具有较高的要求。掌握冠心病的影像学知识尤为重要,同时要了解循环系统不同影像检查的临床应用价值,熟悉大血管疾病的影像学表现。

思考题:

  1. 为什么肺淤血的X线表现有双肺透亮度降低,而肺充血双肺透亮度不变?
  2. Kerley B线为什么是横行的?
  3. 如何用血液动力学原理解释风心病二尖瓣狭窄的X线表现?

科主任及教研室主任审核签字:

 

 

1